Professionelles Bleaching: natürlich frische Zähne mit Sicherheit

Du wünschst dir hellere, gleichmäßige Zähne – ohne „Fake-Lächeln“ und ohne deine Zahnsubstanz unnötig zu belasten? Mit unserem professionellen Bleaching beim Zahnarzt bekommst du kein Verfahren von der Stange, sondern ein ganzheitliches Konzept mit Vorbereitung, sicherer Aufhellung und Glattflächenversiegelung. Das Ergebnis: natürlich frisch, gleichmäßig hell und langfristig stabil.

Deine Vorteile auf einen Blick:

Du erhältst eine medizinisch kontrollierte, schonende Zahnaufhellung, die zu deinem Typ passt.

Du gewinnst Sicherheit beim Sprechen, Lachen und auf Fotos.

Du investierst in ein hochwertiges Ergebnis statt in kurzfristige, riskante Drogerie- oder wirkungslose Online-Bleachings.

Unsere Mitgliedschaften

Mitglied beim DGI
zertifiziertes Mitglied beim DGZS
Mitglied im DGZMK
Mitglied beim DGZH
Mitglied beim DGÄZ
Mitglied beim DGI
Mitglied im DGZMK
Mitglied beim DGÄZ
Mitglied beim DGZH
zertifiziertes Mitglied beim DGZS
Prophylaxe Wünsche

Warum professionelles Bleaching beim Zahnarzt die bessere Wahl ist

Bleaching beim Zahnarzt heißt: medizinisch wirksam aufhellen, kontrolliert und planbar – und dank Glattflächenversiegelung bleibt das Ergebnis länger stabil. Wenn man schon Geld investiert, dann in eine sichere Bank.

Mehr Selbstvertrauen:

Ein aufgehelltes Lächeln lässt dich auf Fotos, im Job und privat souveräner auftreten.

Ein Ergebnis, das zu dir passt:

Keine Einheitslösung, sondern eine Zahnaufhellung, die an deine natürliche Zahnfarbe und deine Gesichtsproportionen angepasst wird.

Medizinische Sicherheit:

Deine Zähne und dein Zahnfleisch werden vorab gründlich untersucht – gebleicht wird nur, wenn es für dich wirklich sinnvoll und verantwortbar ist.

Geringes Risiko:

Drogerie- und Online-Bleachings dürfen kaum wirksame Aufhellungsstoffe enthalten – deshalb bringen sie oft nichts Sichtbares. Viele „Whitening“-Produkte arbeiten stattdessen über Abrieb: Sie reiben den Zahnschmelz an, bis es heller wirkt – im Extremfall so stark, dass man fast schon Veneers bräuchte. In der Praxis läuft das anders: wirksame medizinische Gele, volle Kontrolle und langfristiger Schutz durch die Versiegelung.

Für wen ist Zahnbleaching sinnvoll?

Bleaching ist hier keine isolierte „Beauty-Leistung“, sondern Teil eines ganzheitlichen Konzepts für ein gesundes, stimmiges Lächeln.
Am Anfang steht immer eine Frage:
Ist Bleaching für deine Zähne medizinisch sinnvoll und langfristig vertretbar?

Typische Situationen, in denen du von Bleaching profitierst

Bleaching ist für alle, die sich mit ihrem Lächeln wieder richtig wohlfühlen möchten – im Alltag oder für besondere Anlässe wie eine Hochzeit, eine berufliche Veränderung oder einen öffentlichen Auftritt, bei dem du dein Lächeln in Bestform zeigen willst.

Vor ästhetischen Versorgungen, z. B. Füllungen, Kronen oder Veneers im sichtbaren Bereich: Durch Bleaching wird zunächst eine hellere Grundfarbe geschaffen, neue Restaurationen werden später exakt darauf abgestimmt.

Auch bei stärkeren äußeren Verfärbungen (z. B. durch Kaffee, Tee oder Rauchen) kann Bleaching helfen, wenn eine Zahnreinigung nicht mehr ausreicht – manchmal sind dann mehrere Durchgänge nötig.

So setzt du Bleaching gezielt ein – als Baustein für ein harmonisches Gesamtbild statt als kurzfristigen Trend.

Wann Bleaching nicht geeignet ist

Bleaching ist nicht in jeder Situation die erste Wahl. In bestimmten Fällen hat deine Zahngesundheit Vorrang:

Akute Entzündungen, unbehandelte Karies oder stark freiliegende Zahnhälse müssen zuerst behandelt werden. Erst danach kann über eine Zahnaufhellung entschieden werden.

Bei Schwangeren, Stillenden oder sehr jungen Patienten erfolgt die Entscheidung besonders vorsichtig – Sicherheit geht vor Ästhetik.

Füllungen, Kronen, Veneers oder Prothesen im sichtbaren Bereich verändern ihre Farbe durch Bleaching nicht. Die Lösung: Wir planen die farbliche Anpassung von Anfang an strategisch mit ein. Bestehende Restaurationen werden nach dem Bleaching in der neuen, helleren Farbe erneuert – so entsteht ein harmonisches Gesamtbild. Bei Prothesen setzen wir im Labor neue, hellere Zähne ein, die perfekt zu Ihrem aufgehellten Lächeln passen.

Mehr zu unserer Philosophie und Arbeitsweise erfährst du unter über die Praxis ↗.

So läuft dein Bleaching beim Zahnarzt ab

Du sollst genau wissen, was passiert. Dein Zahnbleaching folgt einem klaren, schonenden Ablauf – von der Untersuchung bis zur Nachsorge.
frueherkennung

1) Untersuchung & Beratung

Zähne und Zahnfleisch werden gründlich geprüft, deine Ausgangszahnfarbe bestimmt und Kontraindikationen ausgeschlossen.
Du erhältst eine ehrliche Einschätzung, welche Aufhellung realistisch ist – und ob Bleaching aktuell überhaupt zu deiner Zahnsituation passt.

Neue Zähne

2) Professionelle Reinigung & Vorbereitung

Vor dem Bleaching werden Beläge und oberflächliche Verfärbungen entfernt, empfindliche Bereiche geschützt und vorhandene Restaurationen geprüft. So entsteht eine saubere, gleichmäßige Basis, auf der das Bleaching-Gel optimal wirken kann.

Neue Zähne

3) In-Office-Bleaching mit Hightech-Verfahren

Dein Zahnfleisch wird abgedeckt, das professionelle Bleaching-Gel aufgetragen und in mehreren Durchgängen aktiviert.
Einwirkzeit und Intensität werden individuell gesteuert – für sichtbar hellere Zähne in kurzer Zeit, unter sicherer Kontrolle der Zahnärztin.

schutz

5) Glattflächenversiegelung

Nach dem Bleaching versiegeln wir die Zahnoberflächen medizinisch. Der Schmelz wird geglättet, Pigmente haften schlechter, Empfindlichkeiten werden minimiert – und eine Farbdiät ist nicht nötig (also kein Verzicht auf färbende Lebensmittel/Getränke wie Kaffee, Rotwein, Curry oder rote Beete in den ersten 24–48 Stunden).

Neue Zähne

4) Nachsorge & Pflege

Zum Abschluss bekommst du klare Pflegehinweise für zu Hause, damit das Ergebnis stabil bleibt – inklusive Empfehlungen, wie du neue Verfärbungen am besten vermeidest und deine Zähne langfristig natürlich frisch hältst.

Dr. Bianca Römer

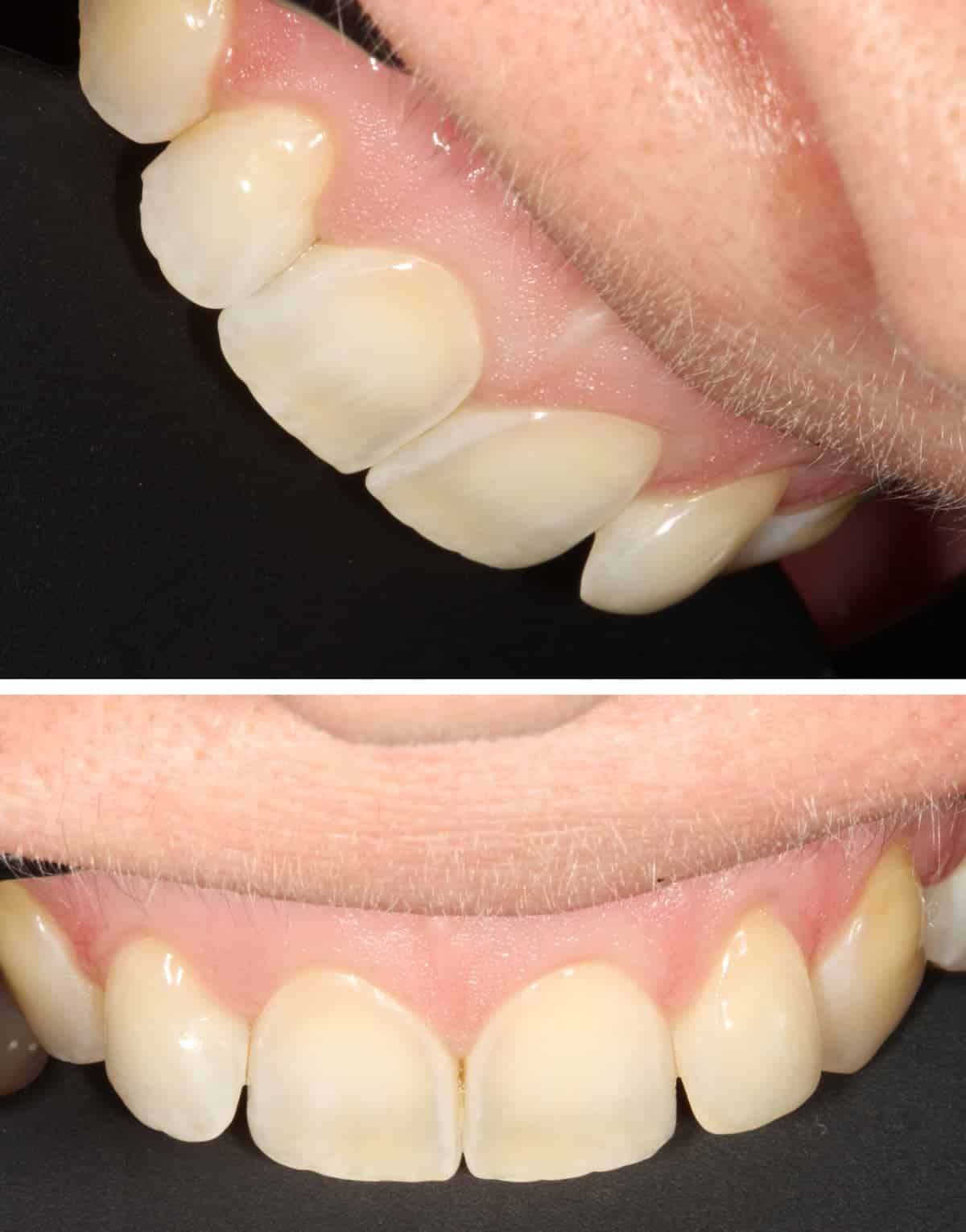
Bleaching-Ergebnisse,
Haltbarkeit & Vorher-nachher-Effekt

Mit professionellem Zahnbleaching lassen sich Zähne in der Regel um mehrere Farbstufen aufhellen. Die tatsächliche Veränderung wird beeinflusst von:

Deiner Ausgangszahnfarbe,

der Art und Tiefe der Verfärbungen,

der Struktur deiner Zahnsubstanz,

deiner Lebensgewohnheiten (Ernährung, Rauchen, Mundhygiene).

Wichtig: Es gibt keine Garantie auf eine bestimmte Helligkeitsstufe oder ein komplett „schneeweißes“ Ergebnis. Das Ziel ist immer ein natürlich wirkendes, zu deinem Gesicht passendes Weiß – nicht ein unnatürliches „Chlorweiß“.

Wie lange hält Bleaching?

Professionelles Bleaching beim Zahnarzt kann – je nach Ausgangssituation und Lebensstil – über mehrere Jahre sichtbar bleiben, wenn du einige Punkte beachtest:

konsequent gute Mundhygiene im Alltag

regelmäßige professionelle Zahnreinigungen

bewusster Umgang mit stark färbenden Lebensmitteln, Getränken und Nikotin

gelegentliche Auffrischungs-Bleachings zur Stabilisierung der Zahnfarbe

Risiken, Nebenwirkungen und Grenzen
der Zahnaufhellung

Auch beim professionellen Bleaching der Zähne ist es wichtig, mögliche Nebenwirkungen und Grenzen zu kennen – gerade, weil deine Sicherheit Priorität hat.

Mögliche Nebenwirkungen

Nach der Aufhellung können Zähne vorübergehend empfindlicher reagieren, zum Beispiel auf Kälte oder Süßes. Auch leichte Reizungen am Zahnfleisch sind möglich, wenn etwas Gel an das Weichgewebe gelangt. Diese Reaktionen sind in der Regel kurzzeitig und klingen von selbst wieder ab.

Unser Ansatz: Komfort und Schutz von Anfang an

Damit die Behandlung für dich angenehm bleibt, arbeiten wir mit besonderen Maßnahmen:

Leichte örtliche Betäubung während des Bleachings – so kannst du entspannt bleiben, selbst wenn ein Zahn zwischendurch empfindlich reagieren sollte.

Keine Farbdiät nötig – dank unserer abschließenden Glattflächenversiegelung nach dem Bleaching. Diese schützt die Zahnoberfläche und reduziert Empfindlichkeiten auf ein Minimum. Du musst nicht auf Kaffee, Rotwein oder andere farbintensive Lebensmittel verzichten.

Bei anderen Anbietern

Oft tagelange Empfindlichkeit
Strenge Farbdiät (kein Kaffee, Tee, Rotwein)
Nachsorge auf eigene Faust

Bei uns

Leichte Betäubung während der Behandlung

Keine Farbdiät dank Glattflächenversiegelung

Schutzversiegelung direkt inklusive

Grenzen des Bleachings

Grenzen hat Bleaching dort, wo Materialien nicht aufhellbar sind: Füllungen, Kronen und Veneers verändern ihre Farbe nicht, besonders im Frontzahnbereich kann daher ein Austausch nach dem Bleaching sinnvoll sein, um die neue Zahnfarbe aufzunehmen. Auch bestimmte Verfärbungen – etwa sehr tiefe Verfärbungen oder ausgeprägte White- bzw. Brown Spots – reagieren unterschiedlich auf das Aufhellen, hier können ergänzend minimalinvasive Verfahren notwendig sein.

Ein extremes, unnatürliches Weiß ist kein Ziel der Behandlung; im Mittelpunkt stehen immer die Gesundheit deiner Zahnsubstanz und ein ästhetisch stimmiger Gesamteindruck.

Auf Wunsch kann das Bleaching mit weiteren ästhetischen Maßnahmen kombiniert werden, zum Beispiel feinen Formkorrekturen oder sanften Behandlungen von White- oder Brown Spotshäufig ohne Bohren. So entsteht ein ganzheitlich harmonisches Lächeln, das zu deinem Typ passt.

Bleaching-Kosten – transparenter Überblick statt Überraschungen

Bleaching ist eine privat zu zahlende Leistung. Die gesetzliche und auch die private Krankenkasse übernehmen die Kosten in der Regel nicht. Je nach Zusatzversicherung sind jedoch Zuschüsse möglich – einzelne Tarife zahlen das Bleaching sogar vollständig. Der Preis für das Zähnebleichen richtet sich nach mehreren Faktoren.

Was beeinflusst die Bleaching-Kosten?

Ausmaß und Art der Verfärbung

Gewähltes Verfahren: ausschließlich In-Office-Bleaching oder Kombination mit Glattflächenversiegelung

Erforderliche Vorbehandlungen, z. B. professionelle Zahnreinigung, Kariesbehandlung, ggf. späterer Austausch sichtbarer Füllungen nach dem Bleaching

Du erhältst einen transparenten, individuellen Kostenplan ohne versteckte Posten. Über den Zahnkosten-Rechner ↗ auf unserer Website kannst du dir vorab einen groben Kostenrahmen ansehen – die genaue Planung erfolgt nach der persönlichen Untersuchung in der Praxis.

Schnarchschiene
Nahaufnahme stark abgenutzter, verkürzter Frontzähne mit sichtbar abgeriebenem Zahnschmelz – typisches Schadbild durch abrasive Whitening-Produkte.

Nahaufnahme stark abgenutzter, verkürzter Frontzähne mit sichtbar abgeriebenem Zahnschmelz – ein typisches Schadbild durch abrasive Drogerie-Whiteningprodukte.

Bleaching beim Zahnarzt vs. Drogerie- und Online-Produkte

Viele Patienten fragen sich, warum sie für Bleaching zum Zahnarzt kommen sollten, wenn es doch zahlreiche Sets in Drogerie, Internet oder im Kosmetikstudio gibt.

Die wichtigsten Unterschiede

Zahngesundheit zuerst:
Vor dem Bleaching wird geprüft, ob deine Zähne und dein Zahnfleisch gesund sind. Nur dann wird aufgehellt.

Kontrollierte und hohe Wirkstoffkonzentration:
Unsere Bleaching-Gele sind hochwirksam, werden aber so dosiert und angewendet, dass Aufhellung und Sicherheit perfekt zusammenpassen. Das schützt Zahnschmelz und Zahnfleisch zuverlässig.

Individuelle Steuerung:
Einwirkzeiten und Häufigkeit der Durchgänge werden an deine Empfindlichkeit und Bedürfnisse angepasst.

Realistische Ziele:
Du erhältst eine ehrliche Einschätzung, was machbar ist – statt unrealistischer Werbeversprechen.

Drogerie-, Online- und Kosmetikstudio-Bleachings sind im Kern entweder wirkungslos oder riskant: Frei verkäufliche Produkte dürfen kaum wirksame Aufhellung enthalten – oft bleibt nur ein oberflächlicher „Weiß-Look“ durch Abrieb. Andere, unkontrolliert eingesetzte Mittel sind zu aggressiv und können Zahnschmelz und Zahnfleisch angreifen, Empfindlichkeiten auslösen und fleckige, künstlich wirkende Ergebnisse hinterlassen.

Wer auf professionelle Betreuung setzt, entscheidet sich für Sicherheit, Qualität und ein natürliches Ergebnis, das zur eigenen Persönlichkeit passt.

Dr. Bianca Römer zufriedener Patient

Dein Weg zu weißen Zähnen in München & Süddeutschland

Ob du aus München, Amerdingen, Bayern, Baden-Württemberg oder einem anderen Teil Süddeutschlands anreisen: Für ein hochwertiges, professionelles Zahnbleaching lohnt sich der Weg in eine spezialisierte Praxis.

Du profitierst von:

langjähriger Erfahrung in der ästhetischen Zahnmedizin

einem Fokus auf High-End-Ästhetik statt schneller „Quick-Fix“-Lösungen

minimalinvasiven, zahnschonenden Vorgehensweisen

einer Hightech-Praxis mit ruhiger, stilvoller Atmosphäre und genügend Zeit für deine Fragen

einem ganzheitlichen Blick auf dein Lächeln, bei dem Bleaching immer in dein Gesamtbild eingebettet wird

Unsere Patienten betonen in ihren Bewertungen die verständliche Aufklärung, das natürliche Ergebnis und die entspannte Atmosphäre in der Praxis. Du sollst dich ernst genommen, ehrlich beraten und nie „verkauft“ fühlen.

Dr. Bianca Römer am Mikroskop
Zahnarztpraxis Dr. Römer Amerdingen
Zahnarztpraxis Team Dr. Römer Amerdingen
Dr. Bianca Römer Zahnarztpraxis für Hightech-Zahnaesthetik

Unsere Mitgliedschaften

Mitglied beim DGI
zertifiziertes Mitglied beim DGZS
Mitglied im DGZMK
Mitglied beim DGZH
Mitglied beim DGÄZ
Mitglied beim DGI
Mitglied im DGZMK
Mitglied beim DGÄZ
Mitglied beim DGZH
zertifiziertes Mitglied beim DGZS

Erfahrungen mit Bleaching in unserer Praxis

Das sagen unsere Patienten:

Rebekka über Bleaching

Horst über Bleaching

Sabine über Bleaching

Bereit für dein Bleaching & natürlich weißen Zähnen?

Beratung vereinbaren

Buche dein Erstgespräch über unsereOnline-Rezeption. Wir nehmen uns Zeit für dein Anliegen und prüfen, ob ein Zahnbleaching medizinisch sinnvoll ist und welche Methode für dich infrage kommt.

1.

Bleaching-Check & Farbberatung

Im Anamnese-Termin analysieren wir Zähne, Zahnfleisch und Zahnsubstanz, bestimmen deine Ausgangsfarbe und besprechen realistische Aufhellungsstufen. So siehst du schon vorab, welches Ergebnis möglich ist und wie wir dein Lächeln natürlich aufhellen können.

2.

Individueller Bleaching-Plan & Behandlung

Du erhältst einen klaren Behandlungs- und Kostenplan. Wenn alles für dich passt, starten wir mit deiner Bleachingbehandlung. So bleibt dein aufgehelltes Lächeln planbar und langfristig schön.

3.

FAQ – Häufig gestellte Fragen zu Bleaching

Was sagen Zahnärzte zu Bleaching – ist das wirklich sinnvoll?

Bleaching beim Zahnarzt ist bei gesundem Zahnstatus und fachgerechter Anwendung eine sinnvolle, vergleichsweise schonende Methode, um Zähne aufzuhellen. Entscheidend sind eine gründliche Voruntersuchung, passende Dosierungen und realistische Ziele.

Was ist der Nachteil von Bleaching und welche Risiken gibt es?

Kurzzeitig können Zähne nach dem Aufhellen empfindlich reagieren oder das Zahnfleisch leicht gereizt sein – das ist der klassische „Nachteil“ vieler Bleachings. Genau deshalb endet unser Bleaching nicht nach dem Aufhellen: Wir schließen immer mit einer medizinischen Glattflächenversiegelung (fluoridfrei) ab. Dabei werden raue Stellen geglättet und Porositäten im Schmelz aufgefüllt – so lagern sich neue Pigmente und Beläge deutlich schlechter an. Der Effekt: Die Aufhellung hält länger, Empfindlichkeiten treten gar nicht erst auf oder werden spürbar gelindert – und eine Farbdiät nach dem Bleaching ist bei uns in der Regel nicht nötig.

Wie lange hält ein professionelles Zahnbleaching?

Je nach Lebensgewohnheiten und Ausgangssituation kann das Ergebnis mehrere Jahre sichtbar bleiben. Gute Mundhygiene, regelmäßige Prophylaxe und ein bewusster Umgang mit färbenden Lebensmitteln und Nikotin tragen wesentlich zur Haltbarkeit bei. Später sind schonende Auffrischungen möglich.

Welches Zahnbleaching ist am effektivsten und funktioniert wirklich?

Besonders wirkungsvoll ist ein In-Office-Bleaching direkt in der Praxis: Dabei arbeiten wir mit professionellen, ausschließlich zahnärztlich verfügbaren Gelen und einer schonenden Lichtaktivierung. So können wir die Aufhellung exakt steuern – für maximale Wirkung, höchste Sicherheit und ein stabil langanhaltendes Ergebnis.

Wann darf die letzte professionelle Zahnreinigung vor dem Bleaching gewesen sein?

Damit das Bleaching optimal und gleichmäßig wirken kann, sollte die letzte professionelle Zahnreinigung maximal zwei Wochen vor der Behandlung stattgefunden haben.

Wie läuft das Bleaching bei euch ab – und warum sind es 3 Komponenten?

Unser Bleaching ist ein medizinisches 3-Phasen-Konzept, weil nur so ein gleichmäßiges und sicheres Ergebnis wirklich planbar wird:

  1. Vorbereitung & Konditionierung:
    Wir reinigen und bereiten die Zähne gezielt vor, damit das Bleaching optimal wirken kann und ein gleichmäßiges Ergebnis entsteht.

  2. In-Office-Aufhellung mit medizinischen Gelen:
    Die eigentliche Aufhellung erfolgt mit sicheren, zahnarztexklusiven Bleaching-Gels und Medizinprodukten – frei verkäufliche oder Studio-Produkte sind dafür zu schwach oder arbeiten nur oberflächlich.

  3. Glattflächenversiegelung (Lotus-Effekt, fluoridfrei):
    Zum Abschluss versiegeln wir die Oberflächen medizinisch. Der Schmelz wird geglättet, Pigmente haften nachweislich schlechter, Empfindlichkeiten werden reduziert – und dadurch ist nach dem Bleaching keine Farbdiät nötig.

So greifen alle drei Schritte ineinander – für ein vorhersehbares, natürlich frisches und langanhaltendes Resultat.